CT検査
CT検査(Computed Tomography)とは、放射線(X線)を用いてコンピューターによって人体の内部を画像化する検査のことです。頭部CT検査は、5ミリ~1センチ間隔で脳内を輪切りにした画像を撮影し、その断面画像から脳の疾患や腫瘍の有無を確認し、画像診断を行います。
〒274-0063千葉県船橋市習志野台6-3-25
頭痛外来
Headache Outpatient
その頭痛我慢していませんか?
専門的評価で“ただの頭痛”を見逃さない

一生に一度も頭痛を感じたことのない人は幸せだと言われます。頭痛は極めて多い病気であり、症状でもあります。頭痛に悩む人に関する調査を行ったところ、少なくとも人口の10%の人が、慢性の頭痛に悩まされているということがわかりました。
わかりやすい診療、やさしい診療を心がけており、頭痛外来では、薬物による治療のみならず、詳しい検査と生活習慣の指導も同時に行っています。
単なる頭痛と考えていたら、思わぬ病気が見つかり、治療で良くなることもあります。あなたの頭痛、きっと対処方法が見つかるでしょう。
頭痛の原因は患者様によって様々ですが、重要なことは、その頭痛の原因が生命に危険性があるかどうかを見極めることです。
大部分の頭痛には有効な治療法が存在しますので、患者様のお話をお聞きし、適切な治療・生活改善のアドバイスを行います。
当院でできる検査
頭痛外来では、頭痛に関して(発生時期、痛みの持続期間、頻度、痛み方など)、詳しく問診を行い、必要な場合はCT検査やMRI検査を実施し、その頭痛が一次性頭痛なのか二次性頭痛なのかを総合的に診断いたします。CT検査、MRI検査が必要な場合は、当院にて近隣の検査機関を予約いたします。近隣の検査機関にて検査を受けていただき、結果は当院でご説明いたします。
CT検査(Computed Tomography)とは、放射線(X線)を用いてコンピューターによって人体の内部を画像化する検査のことです。頭部CT検査は、5ミリ~1センチ間隔で脳内を輪切りにした画像を撮影し、その断面画像から脳の疾患や腫瘍の有無を確認し、画像診断を行います。
MRI検査(Magnetic Resonance Imaging)は、強力な磁場と電波を組み合わせて、体内の詳細な画像を取得し、その画像から異常を発見します。放射線を使わないため、被爆の心配はありません。この検査では脳梗塞や脳出血、脳腫瘍、動脈瘤などの病気を早期発見できます。検査時間はおおよそ20分程度です。


頭痛の分類
明らかな脳病変などを伴わないが慢性に頭痛を繰り返し、ひどい場合は日常生活にも悪影響を与える可能性のある頭痛
脳の病気を中心に臓器、筋肉、神経など全身の各器管に生じたトラブル(病気)が原因の頭痛
よくある頭痛
片頭痛とは、あたりがズキズキと痛むのが特徴的な頭痛です。頭痛が生じる前に、キラキラした光、ギザギザの光などの視野の異常などの前兆症状を生じることもあります。発作は通常4~72時間続き、頭痛の程度は中等度~高度で日常生活に支障をきたします。
家族に片頭痛を起こしやすい人がいる、ストレスや疲れがたまっている人、天候が変わると生理前後に悪化する人などは、片頭痛の可能性が高いです。治療はトリプタン製剤という特効薬があります。また発作を予防する薬も数種類あります。
「頭がギューッと締めつけられる」「重い鉢巻きを巻いているみたい」
そんな感覚が続くのが緊張型頭痛。長時間のデスクワークやスマホ、ストレスや姿勢の悪さが原因になりやすく、夕方になるとだんだん強くなることもあります。
緊張型頭痛の多くの場合、両側性の痛みが見られ、頭全体や首周辺まで広がることがあります。激しいズキズキ感(拍動性)はなく、一定の痛みが続きます。仕事や家事、勉強などを行うことは可能ですが、集中しにくくなることがあります。
また、緊張型頭痛では、片頭痛と異なり、通常は吐き気や嘔吐がなく、光や音への過敏さが少ないということも特徴です。
群発頭痛は、眼周囲~前頭部、側頭部にかけての激しい頭痛が数週から数ヵ月の期間群発することが特徴です。夜間、睡眠中に頭痛発作がおこりやすく、頭痛発作時に眼の充血や流涙、鼻汁や鼻閉、縮瞳と眼瞼下垂(まぶたが下がること)などの症状を伴うことが多いことも特徴です。また、頭痛発作中は落ち着かず興奮したような状態になる方が多く、動けなくなる片頭痛とは対照的です。
薬物乱用性頭痛は、片頭痛や緊張型頭痛を持つ人が、処方薬や市販の頭痛治療薬を過剰に使用することで起こる頭痛のことです。頭痛薬を過剰に使用している状態が続くと、少しの刺激でも強い痛みとして感じるようになり、結果的に耐えられない頭痛が起こる回数が増加し、症状を悪化させてしまいます。また痛みに対する不安から、早めに薬を服用、頭痛がないのに薬を服用することで、薬の効果が低下、さらに頭痛がひどくなり、薬を服用するという悪循環に陥ってしまいます。
連日薬を服用している、薬の効果がなくなってきたと感じたら、自己判断での薬の服用は止め、早めに受診しましょう。
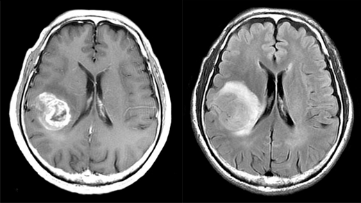
脳腫瘍とは、脳の表面や組織にできる腫瘍の総称です。脳腫瘍は脳の細胞や神経・脳を包む膜から発生する原発性脳腫瘍と、肺がんや乳がんなどが脳に転移する転移性脳腫瘍と大きく2つに分けられます。
腫瘍ができていても症状が出ないこともありますが、進行すると、起床時の頭痛、嘔吐などが起こることがあります。また、腫瘍ができる場所によっては、神経脱落症状(片麻痺や言語障害など)、聴力障害、視野障害、またはてんかん発作などの症状がみられることもあります。
脳動脈瘤とは、脳動脈の血管壁が薄くなることやもろくなることで、そこが膨らみ、血液が入り込んで、コブのような形状になることです。
脳動脈瘤の中には、動脈に流れている血液が常に循環しているため、基本的に脳動脈瘤が自然にしぼんで治癒することはなく、この脳動脈瘤が破裂すると、くも膜下出血を発症します。
しかし、脳動脈瘤は必ず破裂するわけではありません(未破裂脳動脈瘤)。未破裂脳動脈瘤はほとんどが無症状であり、脳ドックや検査などで偶然に発見されるケースが多く、破裂せずに一生を過ごす方もいらっしゃいます。
一方、脳動脈瘤が破裂し、くも膜下出血を発症すると、今までに経験したことが無いような激しい頭痛が起こり、嘔吐や意識障害も同時に起こります。
受診の目安

これらに該当する場合には自己判断せずに早めに受診!
頭痛のその先にある暮らしまで支える。
それが私達家庭医の頭痛外来です。
*「インターネット受付」「お電話でのご予約」は、予約の人数が上限に達した場合は、予約を終了することがございますが、ご了承ください。
問診票ダウンロード
Medical QuestionnaireDownload
Medical
QuestionnaireDownload